Periodontal Disease

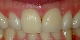
Before: Front (left) Central tooth has a poor restoration. Does not look natural and is not contoured properly to match the gumline of the rest of the teeth.

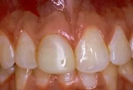
After: Replaced with an All Porcelain Crown (no metal). Tooth is now contoured to match the rest of the gumline. Restored tooth looks very natural and matches the shape and color of the patient's teeth.

PATIENT PHOTOS DEPICTING:

  • Crowns (Caps)
  • Porcelain Crowns (Caps)

Note: Patients depicted in photos have provided their consent to display their pictures online. Results may vary.


Before: Patient needs a Single Tooth Replacement of one Upper Central Incisor.

After: Smile and function restored with a Single Implant and an All Porcelain Crown (Cap) that fits securely over the implant.

PATIENT PHOTOS DEPICTING:

  • Crowns (Caps)
  • Dental Implants
  • Porcelain Crowns (Caps)

Note: Patients depicted in photos have provided their consent to display their pictures online. Results may vary.


Before: Patient needs Upper and Lower Arch Rehabilitation.

After: Great smile, chewing function, and facial tissue support possible with an Upper Denture that is supported with Implants and Lower Implants and Crowns.

PATIENT PHOTOS DEPICTING:

  • Crowns (Caps)
  • Dental Implants
  • Dentures & Partial Dentures
  • Porcelain Crowns (Caps)

Note: Patients depicted in photos have provided their consent to display their pictures online. Results may vary.


Our Location

Hours of Operation

Monday

10:00 am - 7:00 pm

Tuesday

8:30 am - 5:30 pm

Wednesday, Thursday

8:00 am - 5:00 pm

Friday, Sunday

Closed

Saturday

9:00 am - 1:00 pm

Monday
10:00 am - 7:00 pm
Tuesday
8:30 am - 5:30 pm
Wednesday, Thursday
8:00 am - 5:00 pm
Friday, Sunday
Closed
Saturday
9:00 am - 1:00 pm