Periodontal Disease

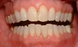
Moderate crowding treated with Invisalign for 14 months. Finished with cosmetic smoothing and recontouring of worn teeth along with bonding of two upper incisor teeth that were chipped.

PATIENT PHOTOS DEPICTING:

  • Invisalign

Note: Patients depicted in photos have provided their consent to display their pictures online. Results may vary.


Our Location

Hours of Operation

Monday

10:00 am - 7:00 pm

Tuesday

8:30 am - 5:30 pm

Wednesday, Thursday

8:00 am - 5:00 pm

Friday, Sunday

Closed

Saturday

9:00 am - 1:00 pm

Monday
10:00 am - 7:00 pm
Tuesday
8:30 am - 5:30 pm
Wednesday, Thursday
8:00 am - 5:00 pm
Friday, Sunday
Closed
Saturday
9:00 am - 1:00 pm